家鸡的野生祖先叫做红色原鸡(Gallus gallus),这种生活在丛林里的鸟类,每年只会产下 10 到 15 枚鸡蛋,而且只在繁殖季节产蛋 。
它们的鸡蛋非常小,平均重量只有 35 克左右,与其体型和骨盆结构完美适配。在漫长的自然选择中,任何导致难产的基因都会被迅速淘汰,因此原鸡的鸡蛋大小被严格限制在骨盆能轻松通过的范围内 。
经过几十年的定向选育,一只现代蛋鸡的年产蛋量高达 300 枚甚至更多,几乎每天一枚 。更要命的是,为了迎合市场对大鸡蛋的偏好,蛋重被不断推高,平均达到了 63 克以上,如果是双黄蛋,重量甚至能超过 100 克 。这就好比要求一个人类母亲,生下一个体重是正常婴儿两倍的巨婴,而且是每天生一个。
这就引出了一个解剖学上的死结。哺乳动物在分娩时,骨盆之间的耻骨联合可以在激素作用下分离,从而扩大产道。
但鸟类不同,为了适应飞行和双足行走的稳定性,鸡的骨盆(综荐骨)是刚性愈合的,无法像人类那样“开骨缝”。虽然耻骨末端有微小的弹性,但这种扩张能力在面对一枚巨大且坚硬的钙化蛋壳时,显得杯水车薪。
当一枚过大的鸡蛋通过产道时,会发生什么?
根据哥本哈根大学的一项研究[1],超过 85%的丹麦产蛋鸡患有龙骨(胸骨)骨折 。这些骨折并非源于外部撞击,而是源于“内部负荷”。
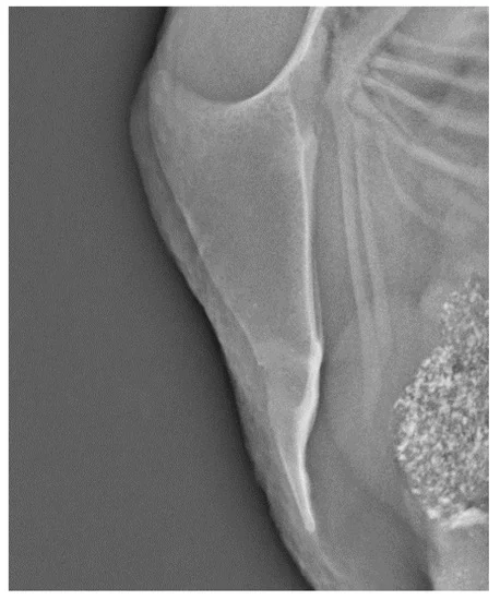
下图这是正常未受伤的龙骨(63 周龄):
这是一次骨折的龙骨(30 周龄):
这是多处骨折的龙骨( 63 周龄):
下表中展示了不同养殖系统下的骨折率,可见龙骨骨折是现代蛋鸡的“普遍流行病”,无论哪种养殖模式,患病率都高得惊人(>80%)。
巨大的鸡蛋在输卵管子宫部钙化变硬后,就像一块坚硬的石头占据了腹腔。随着母鸡的每一次呼吸和运动,这块“石头”从内部不断挤压脆弱的龙骨,最终导致骨骼断裂。要知道,产蛋鸡为了形成蛋壳,必须从自己的骨骼中抽取大量钙质,这本就导致了严重的骨质疏松 。
下表中列出了骨折发生的位置,可见骨折绝大多数发生在胸骨的“尾部尖端”(Caudal part)
除了骨折,疼痛还体现在神经生理层面。研究人员通过植入式遥测设备监测发现,在产蛋的瞬间,母鸡的心率会飙升到极高的水平 。这种心率的剧烈波动不仅仅是体力消耗的结果,它符合急性疼痛和极度应激的生理特征。
上图中,左侧 T 系类母鸡在产蛋前比较安静(Sitting behavior),心率平稳,但在产蛋的那一瞬间(0 分钟),心率出现极剧烈的飙升。这说明即便没有行为上的焦虑,产蛋的物理过程本身也会引发急性的生理激增。S 系类母鸡在产蛋前有焦躁的踱步行为(Restless pacing),心率在产蛋前就开始爬升,并在产出的瞬间达到顶峰。
与此同时,母鸡体内名为β- 内啡肽的物质水平也会波动,这是一种类似于吗啡的天然镇痛剂,它的释放恰恰证明了身体正在经历剧烈的疼痛刺激,需要化学物质来镇压 [2]。
这时候母鸡产蛋会采用一种奇怪的姿势:企鹅步(Penguin Stance)。母鸡像企鹅一样直立躯干,腹部贴近地面,双腿宽宽分开行走。
这在兽医临床上是典型的“腹痛”和“难产”信号,通常是因为那枚巨大的鸡蛋压迫了骨盆内的坐骨神经,或者是输卵管肌肉因过度拉伸而痉挛 。
至于“咯咯哒”产蛋歌,人们常误以为那是母鸡在炫耀战绩。但从动物行为学的角度解读,这更像是一种“如释重负”的宣泄,或者是为了在身体最虚弱、最容易被捕食者攻击的时刻,通过虚张声势来转移注意力的求生本能 。在产出那枚过大的鸡蛋之前,母鸡往往表现得焦躁不安,甚至会出现张口喘息的应激反应 [3]。
更严重的情况是“泄殖腔脱垂”,俗称脱肛[4]。(图在参考链接里,自己去看)当鸡蛋大到超过括约肌的极限时,母鸡用力过度,会将输卵管甚至一部分内脏连同鸡蛋一起推出体外 。这对鸡群来说是致命的,因为红色的脱出组织会引来同伴的啄食,导致同类相食 。
所以,真的很痛……
暂无回复,快来抢沙发吧!
本次需消耗银元:
100
当前账户余额: 0 银元
家鸡的野生祖先叫做红色原鸡(Gallus gallus),这种生活在丛林里的鸟类,每年只会产下 10 到 15 枚鸡蛋,而且只在繁殖季节产蛋 。
它们的鸡蛋非常小,平均重量只有 35 克左右,与其体型和骨盆结构完美适配。在漫长的自然选择中,任何导致难产的基因都会被迅速淘汰,因此原鸡的鸡蛋大小被严格限制在骨盆能轻松通过的范围内 。
经过几十年的定向选育,一只现代蛋鸡的年产蛋量高达 300 枚甚至更多,几乎每天一枚 。更要命的是,为了迎合市场对大鸡蛋的偏好,蛋重被不断推高,平均达到了 63 克以上,如果是双黄蛋,重量甚至能超过 100 克 。这就好比要求一个人类母亲,生下一个体重是正常婴儿两倍的巨婴,而且是每天生一个。
这就引出了一个解剖学上的死结。哺乳动物在分娩时,骨盆之间的耻骨联合可以在激素作用下分离,从而扩大产道。
但鸟类不同,为了适应飞行和双足行走的稳定性,鸡的骨盆(综荐骨)是刚性愈合的,无法像人类那样“开骨缝”。虽然耻骨末端有微小的弹性,但这种扩张能力在面对一枚巨大且坚硬的钙化蛋壳时,显得杯水车薪。
当一枚过大的鸡蛋通过产道时,会发生什么?
根据哥本哈根大学的一项研究[1],超过 85%的丹麦产蛋鸡患有龙骨(胸骨)骨折 。这些骨折并非源于外部撞击,而是源于“内部负荷”。
下图这是正常未受伤的龙骨(63 周龄):
这是一次骨折的龙骨(30 周龄):
这是多处骨折的龙骨( 63 周龄):
下表中展示了不同养殖系统下的骨折率,可见龙骨骨折是现代蛋鸡的“普遍流行病”,无论哪种养殖模式,患病率都高得惊人(>80%)。
巨大的鸡蛋在输卵管子宫部钙化变硬后,就像一块坚硬的石头占据了腹腔。随着母鸡的每一次呼吸和运动,这块“石头”从内部不断挤压脆弱的龙骨,最终导致骨骼断裂。要知道,产蛋鸡为了形成蛋壳,必须从自己的骨骼中抽取大量钙质,这本就导致了严重的骨质疏松 。
下表中列出了骨折发生的位置,可见骨折绝大多数发生在胸骨的“尾部尖端”(Caudal part)
除了骨折,疼痛还体现在神经生理层面。研究人员通过植入式遥测设备监测发现,在产蛋的瞬间,母鸡的心率会飙升到极高的水平 。这种心率的剧烈波动不仅仅是体力消耗的结果,它符合急性疼痛和极度应激的生理特征。
上图中,左侧 T 系类母鸡在产蛋前比较安静(Sitting behavior),心率平稳,但在产蛋的那一瞬间(0 分钟),心率出现极剧烈的飙升。这说明即便没有行为上的焦虑,产蛋的物理过程本身也会引发急性的生理激增。S 系类母鸡在产蛋前有焦躁的踱步行为(Restless pacing),心率在产蛋前就开始爬升,并在产出的瞬间达到顶峰。
与此同时,母鸡体内名为β- 内啡肽的物质水平也会波动,这是一种类似于吗啡的天然镇痛剂,它的释放恰恰证明了身体正在经历剧烈的疼痛刺激,需要化学物质来镇压 [2]。
这时候母鸡产蛋会采用一种奇怪的姿势:企鹅步(Penguin Stance)。母鸡像企鹅一样直立躯干,腹部贴近地面,双腿宽宽分开行走。
这在兽医临床上是典型的“腹痛”和“难产”信号,通常是因为那枚巨大的鸡蛋压迫了骨盆内的坐骨神经,或者是输卵管肌肉因过度拉伸而痉挛 。
至于“咯咯哒”产蛋歌,人们常误以为那是母鸡在炫耀战绩。但从动物行为学的角度解读,这更像是一种“如释重负”的宣泄,或者是为了在身体最虚弱、最容易被捕食者攻击的时刻,通过虚张声势来转移注意力的求生本能 。在产出那枚过大的鸡蛋之前,母鸡往往表现得焦躁不安,甚至会出现张口喘息的应激反应 [3]。
更严重的情况是“泄殖腔脱垂”,俗称脱肛[4]。(图在参考链接里,自己去看)当鸡蛋大到超过括约肌的极限时,母鸡用力过度,会将输卵管甚至一部分内脏连同鸡蛋一起推出体外 。这对鸡群来说是致命的,因为红色的脱出组织会引来同伴的啄食,导致同类相食 。
所以,真的很痛……